Ir para o Conteúdo 1 Ir para a Página Inicial 2 Ir para o menu de Navegação 3 Ir para a Busca 4 Ir para o Mapa do site 5
Abrir menu principal de navegação
CAPES
Termos mais buscados
  • imposto de renda
  • inss
  • assinatura
  • cnh social
  • mei
Termos mais buscados
  • imposto de renda
  • inss
  • assinatura
  • Assuntos
    • Notícias
    • Editais e resultados CAPES
      • Resultados 2026
      • Resultados 2020
      • Resultados 2019
    • Prêmios
      • Prêmio CAPES de Tese
      • Prêmio CAPES Futuras Cientistas
      • Concurso MD/CAPES de Dissertações e Teses sobre Defesa Nacional (CDTDN)
      • Prêmio CAPES Talento Universitário - Documentos Relacionados
      • Concurso de Artigos Científicos sobre Fortalecimento de Vínculos Familiares em Tempos de Pandemia
      • Prêmio Tiradentes
      • Prêmio CAPES/Fundação Grupo Volkswagen de Excelência em Pesquisa em Mobilidade Urbana Sustentável
      • Prêmio CAPES/MINFRA
      • Prêmio CAPES - Natura Campus de Excelência em Pesquisa
      • Prêmio VALE-CAPES de Tecnologia e Inovação
      • Prêmio Top User Award/CAPES 2014
      • Prêmio Emerald/CAPES
      • Prêmio CAPES-Interfarma
      • Prêmio Anísio Teixeira
    • Campanhas
      • Campanha de Prevenção a Cursos Irregulares
    • Eventos
      • Eventos Avaliação
      • Eventos Pibid
      • Eventos Parfor
      • Eventos Observatório da Educação
      • I Encontro de Coordenadores do Programa Novos Talentos
      • I Seminário Nacional do Programa de Consolidação das Licenciaturas (Prodocência)
      • Seminário Residência Pedagógica
      • Seminário Lei do Bem
      • Seminário Internacional Repensando a universidade comparativamente entre pa´íses: Brasil. Rússia, Índia e China
      • Seminário Internacional Repensando a universidade comparativamente: perplexidades, políticas e paradoxos
      • I Encontro Nacional do Life
      • III Encontro Acadêmico Internacional: Interdisciplinaridade nas universidades brasileiras - Resultados e Desafios
      • Workshop Brazil/U.S. Women in Sciences and Engineering
      • Fórum Internacional CAPES/Brafagri
      • IX Fórum Brafitec
      • Educação Comparada - 2013
      • Encontro Acadêmico Internacional
      • III Colóquio Saint Hilaire
      • Seminário Estruturas em Aço, Ensino e Pesquisa Científica e Tecnológica.
    • Arquivo Central da CAPES
    • Aplicativos CAPES
    • Painel de Monitoramento e Indicadores
  • Acesso à Informação
    • Institucional
      • História e missão
      • Base jurídica da estrutura organizacional e das competências
      • Estrutura organizacional
      • Quem é quem
      • Orçamento - Evolução em reais
      • Dados Bancários
      • Competências
      • Horário de atendimento
      • Agenda de Autoridades
      • Corregedoria
      • Atos normativos
    • Ações e Programas
      • Avaliação
      • Apoio a Eventos
      • Bolsas e Estudantes
      • Educação a Distância
      • Formação de Professores da Educação Básica
      • Tecnologia da Informação
      • Plano Nacional de Pós-Graduação - PNPG
      • Carta de Serviços ao Usuário
      • Governança
      • Seleção Organismo Internacional
      • Outras Ações
    • Participação Social
      • Ouvidoria
      • Conselhos e órgãos colegiados
    • Auditorias
    • Convênios e Transferências
    • Receitas e despesas
      • Diárias e Passagens
      • Execução Orçamentária e Financeira
      • Cartões de Pagamento
      • Empenho, liquidação e pagamento
      • Orçamento Unidade Orçamentária CAPES– Dotação Inicial e Dotação Atualizada
      • Relatório bimestral de pagamentos
      • Dados de Emenda de Relator-Geral na LOA
      • Receita Pública
      • Renuncia de Receitas
      • Notas Fiscais Eletrônicas
    • Licitações e Contratos
      • Licitações
      • Contratos vigentes
      • Chamadas públicas
      • Plano de Contratações Anual
      • Termos de fomento
      • Dispensa de licitação
      • Inexigibilidade de licitação
      • Inexigibilidade de licitação - Portal de Periódicos
      • Concorrências
    • Termos de Execução Descentralizada
      • Termo de Descentralização de Demanda (TED) – CAPES
      • Termo de Descentralização de Demanda (TED) – Portal dos Periódicos
    • Acordos de Cooperação Técnica
    • Servidores
      • Concursos Públicos CAPES
      • Quantitativo de Estagiários
      • Edital seleção
      • Ingresso de novos servidores
    • Informações Classificadas
    • Serviço de Informação ao Cidadão - SIC
      • O Serviço de Informação ao Cidadão - SIC
      • Modelo de formulários
      • Plataforma Fala.BR
      • Relatórios Anuais da Autoridade de Monitoramento da LAI
      • A Lei de Acesso à Informação - LAI
      • Editais de chamamento público
      • Fluxos
      • Painel LAI
      • Plano de Integração dos Serviços à Plataforma de Cidadania Digital
    • Perguntas Frequentes
      • Sobre a CAPES
      • Avaliação da Pós-graduação
      • Bolsas e Auxílios Internacionais
      • Programas e Bolsas no País
      • Educação a Distância
      • Formação de Professores da Educação Básica
      • Tecnologia da Informação da CAPES
      • AUXPE, Prestação de Contas e Cobranças Administrativas
      • Outros assuntos da CAPES
    • Dados Abertos
    • Sanções Administrativas
    • Agenda de Autoridades
    • Sistema Eletrônico de Informações - SEI
      • Usuário Externo
      • Validação de documentos
      • Usuário Interno
      • Protocolo GOV.BR
      • Pesquisa Pública
      • Peticionamento Eletrônico
    • Transparência e Prestação de Contas
      • Relatórios de Gestão
      • Objetivo, Metas e Indicadores de Desempenho
      • Demonstrações contábeis
      • Valor público
      • Supervisão, Controle e Correição
      • Estrutura Organizacional, cargos e contatos institucionais
      • Programas, Projetos e Ações
      • Transferências de Recursos Financeiros
      • Execução Orçamentária e Financeira
      • Licitações e Contratos
      • Servidores
      • Serviço de Informação ao Cidadão (SIC)
      • Rol de Responsáveis
      • Dados Abertos
      • Transparência Pagamento a Bolsistas
      • GeoCAPES
      • Conferências
    • Prestação de Contas e Cobrança Administrativa
      • Regulamento da concessão, aplicação e prestação de contas do Auxílio Financeiro a Projeto Educacional ou de Pesquisa – AUXPE
      • Regulamenta os procedimentos relacionados à cobrança administrativa na CAPES
    • Manual Cartão Pesquisador
    • Privacidade e Proteção de Dados Pessoais
      • Sobre a LGPD
      • Glossário
      • Direito dos Titulares
      • Encarregado pelo Tratamento de Dados Pessoais
      • Canais de Comunicação
      • Avisos de Privacidade e Termos de Uso
      • Política de Cookies
      • Termo de Uso de APP Bolsistas CAPES
      • Termo Uso e Politica Privacidade App EDUCAPES
      • Termo Uso e Politica de Privacidade App Pesquisador
      • Termo Uso e Politica Privacidade App SISUAB
      • Política de Privacidade e Proteção de Dados Pessoais
      • Compartilhamento de Dados Pessoais
    • Programas, Projetos, Ações, Obras e Atividades
    • Plano Diretor de Logística Sustentável - PLS
  • Composição
  • Centrais de Conteúdo
    • Identidade Visual
    • Redes Sociais da CAPES
    • Catálogo de Teses e Dissertações
    • EduCAPES
    • Publicações
      • InfoCAPES
      • Revista CAPES em Foco
      • Impacto da pós-graduação brasileira na Agenda 2030
      • Agenda Nacional para a Formação de Pessoal de Nível Superior
    • PodCAPES
    • CAPES 72 anos
    • CAPES 70 anos
    • Portal de Periódicos
      • 2026
      • 2025
      • 2024
    • Produtos digitais da CAPES
    • Memória da Avaliação
    • COP 30
  • Centrais de Atendimento
    • Comunicação
    • Ouvidoria
    • Fale Conosco
  • GOV.BR
    • Serviços
      • Buscar serviços por
        • Categorias
        • Órgãos
        • Estados
      • Serviços por público alvo
        • Cidadãos
        • Empresas
        • Órgãos e Entidades Públicas
        • Demais segmentos (ONGs, organizações sociais, etc)
        • Servidor Público
    • Temas em Destaque
      • Orçamento Nacional
      • Redes de Atendimento do Governo Federal
      • Proteção de Dados Pessoais
      • Serviços para Imigrantes
      • Política e Orçamento Educacionais
      • Educação Profissional e Tecnológica
      • Educação Profissional para Jovens e Adultos
      • Trabalho e Emprego
      • Serviços para Pessoas com Deficiência
      • Combate à Discriminação Racial
      • Política de Proteção Social
      • Política para Mulheres
      • Saúde Reprodutiva da Mulher
      • Cuidados na Primeira Infância
      • Habitação Popular
      • Controle de Poluição e Resíduos Sólidos
    • Notícias
      • Serviços para o cidadão
      • Saúde
      • Agricultura e Pecuária
      • Cidadania e Assistência Social
      • Ciência e Tecnologia
      • Comunicação
      • Cultura e Esporte
      • Economia e Gestão Pública
      • Educação e Pesquisa
      • Energia
      • Forças Armadas e Defesa Civil
      • Infraestrutura
      • Justiça e Segurança
      • Meio Ambiente
      • Trabalho e Previdência
      • Turismo
    • Galeria de Aplicativos
    • Acompanhe o Planalto
    • Navegação
      • Acessibilidade
      • Mapa do Site
      • Termo de Uso e Aviso de Privacidade
    • Consultar minhas solicitações
    • Órgãos do Governo
    • Por dentro do Gov.br
      • Dúvidas Frequentes em relação ao Portal gov.br
      • Dúvidas Frequentes da conta gov.br
      • Ajuda para Navegar o Portal
      • Conheça os elementos do Portal
      • Política de e-participação
      • Termos de Uso
      • Governo Digital
      • Guia de Edição de Serviços do Portal Gov.br
    • Canais do Executivo Federal
    • Dados do Governo Federal
      • Dados Abertos
      • Painel Estatístico de Pessoal
      • Painel de Compras do Governo Federal
      • Acesso à Informação
    • Empresas e Negócios
Links Úteis
  • Galeria de Aplicativos
  • Participe
  • Galeria de Aplicativos
  • Participe
Redes sociais
  • Facebook
  • Twitter
  • YouTube
  • Flickr
  • Instagram
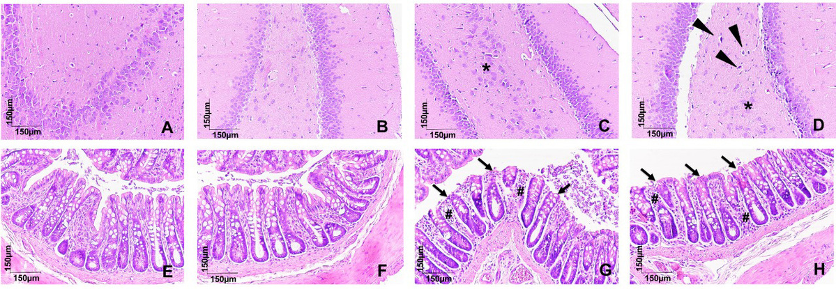
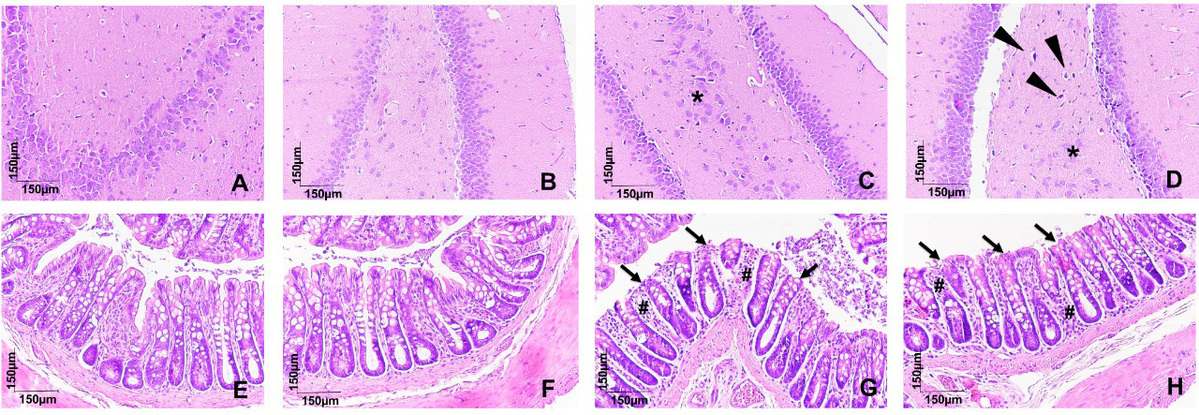
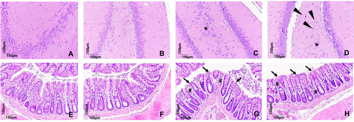
Você está aqui: Página Inicial Media imagem_dentro 14092021_FOTOMATERIAANALISESCEREBRO.jpg
Info

Compartilhe por Facebook Compartilhe por Twitter Compartilhe por LinkedIn Compartilhe por WhatsApp link para Copiar para área de transferência
Atualizado em 14/09/2021 15h02
Compartilhe por Facebook Compartilhe por Twitter Compartilhe por LinkedIn Compartilhe por WhatsApp link para Copiar para área de transferência
  • Assuntos
    • Notícias
    • Editais e resultados CAPES
      • Resultados 2026
      • Resultados 2020
      • Resultados 2019
    • Prêmios
      • Prêmio CAPES de Tese
      • Prêmio CAPES Futuras Cientistas
      • Concurso MD/CAPES de Dissertações e Teses sobre Defesa Nacional (CDTDN)
      • Prêmio CAPES Talento Universitário - Documentos Relacionados
      • Concurso de Artigos Científicos sobre Fortalecimento de Vínculos Familiares em Tempos de Pandemia
      • Prêmio Tiradentes
      • Prêmio CAPES/Fundação Grupo Volkswagen de Excelência em Pesquisa em Mobilidade Urbana Sustentável
      • Prêmio CAPES/MINFRA
      • Prêmio CAPES - Natura Campus de Excelência em Pesquisa
      • Prêmio VALE-CAPES de Tecnologia e Inovação
      • Prêmio Top User Award/CAPES 2014
      • Prêmio Emerald/CAPES
      • Prêmio CAPES-Interfarma
      • Prêmio Anísio Teixeira
    • Campanhas
      • Campanha de Prevenção a Cursos Irregulares
    • Eventos
      • Eventos Avaliação
      • Eventos Pibid
      • Eventos Parfor
      • Eventos Observatório da Educação
      • I Encontro de Coordenadores do Programa Novos Talentos
      • I Seminário Nacional do Programa de Consolidação das Licenciaturas (Prodocência)
      • Seminário Residência Pedagógica
      • Seminário Lei do Bem
      • Seminário Internacional Repensando a universidade comparativamente entre pa´íses: Brasil. Rússia, Índia e China
      • Seminário Internacional Repensando a universidade comparativamente: perplexidades, políticas e paradoxos
      • I Encontro Nacional do Life
      • III Encontro Acadêmico Internacional: Interdisciplinaridade nas universidades brasileiras - Resultados e Desafios
      • Workshop Brazil/U.S. Women in Sciences and Engineering
      • Fórum Internacional CAPES/Brafagri
      • IX Fórum Brafitec
      • Educação Comparada - 2013
      • Encontro Acadêmico Internacional
      • III Colóquio Saint Hilaire
      • Seminário Estruturas em Aço, Ensino e Pesquisa Científica e Tecnológica.
    • Arquivo Central da CAPES
    • Aplicativos CAPES
    • Painel de Monitoramento e Indicadores
  • Acesso à Informação
    • Institucional
      • História e missão
      • Base jurídica da estrutura organizacional e das competências
      • Estrutura organizacional
      • Quem é quem
      • Orçamento - Evolução em reais
      • Dados Bancários
      • Competências
      • Horário de atendimento
      • Agenda de Autoridades
      • Corregedoria
      • Atos normativos
    • Ações e Programas
      • Avaliação
      • Apoio a Eventos
      • Bolsas e Estudantes
      • Educação a Distância
      • Formação de Professores da Educação Básica
      • Tecnologia da Informação
      • Plano Nacional de Pós-Graduação - PNPG
      • Carta de Serviços ao Usuário
      • Governança
      • Seleção Organismo Internacional
      • Outras Ações
    • Participação Social
      • Ouvidoria
      • Conselhos e órgãos colegiados
    • Auditorias
    • Convênios e Transferências
    • Receitas e despesas
      • Diárias e Passagens
      • Execução Orçamentária e Financeira
      • Cartões de Pagamento
      • Empenho, liquidação e pagamento
      • Orçamento Unidade Orçamentária CAPES– Dotação Inicial e Dotação Atualizada
      • Relatório bimestral de pagamentos
      • Dados de Emenda de Relator-Geral na LOA
      • Receita Pública
      • Renuncia de Receitas
      • Notas Fiscais Eletrônicas
    • Licitações e Contratos
      • Licitações
      • Contratos vigentes
      • Chamadas públicas
      • Plano de Contratações Anual
      • Termos de fomento
      • Dispensa de licitação
      • Inexigibilidade de licitação
      • Inexigibilidade de licitação - Portal de Periódicos
      • Concorrências
    • Termos de Execução Descentralizada
      • Termo de Descentralização de Demanda (TED) – CAPES
      • Termo de Descentralização de Demanda (TED) – Portal dos Periódicos
    • Acordos de Cooperação Técnica
    • Servidores
      • Concursos Públicos CAPES
      • Quantitativo de Estagiários
      • Edital seleção
      • Ingresso de novos servidores
    • Informações Classificadas
    • Serviço de Informação ao Cidadão - SIC
      • O Serviço de Informação ao Cidadão - SIC
      • Modelo de formulários
      • Plataforma Fala.BR
      • Relatórios Anuais da Autoridade de Monitoramento da LAI
      • A Lei de Acesso à Informação - LAI
      • Editais de chamamento público
      • Fluxos
      • Painel LAI
      • Plano de Integração dos Serviços à Plataforma de Cidadania Digital
    • Perguntas Frequentes
      • Sobre a CAPES
      • Avaliação da Pós-graduação
      • Bolsas e Auxílios Internacionais
      • Programas e Bolsas no País
      • Educação a Distância
      • Formação de Professores da Educação Básica
      • Tecnologia da Informação da CAPES
      • AUXPE, Prestação de Contas e Cobranças Administrativas
      • Outros assuntos da CAPES
    • Dados Abertos
    • Sanções Administrativas
    • Agenda de Autoridades
    • Sistema Eletrônico de Informações - SEI
      • Usuário Externo
      • Validação de documentos
      • Usuário Interno
      • Protocolo GOV.BR
      • Pesquisa Pública
      • Peticionamento Eletrônico
    • Transparência e Prestação de Contas
      • Relatórios de Gestão
      • Objetivo, Metas e Indicadores de Desempenho
      • Demonstrações contábeis
      • Valor público
      • Supervisão, Controle e Correição
      • Estrutura Organizacional, cargos e contatos institucionais
      • Programas, Projetos e Ações
      • Transferências de Recursos Financeiros
      • Execução Orçamentária e Financeira
      • Licitações e Contratos
      • Servidores
      • Serviço de Informação ao Cidadão (SIC)
      • Rol de Responsáveis
      • Dados Abertos
      • Transparência Pagamento a Bolsistas
      • GeoCAPES
      • Conferências
    • Prestação de Contas e Cobrança Administrativa
      • Regulamento da concessão, aplicação e prestação de contas do Auxílio Financeiro a Projeto Educacional ou de Pesquisa – AUXPE
      • Regulamenta os procedimentos relacionados à cobrança administrativa na CAPES
    • Manual Cartão Pesquisador
    • Privacidade e Proteção de Dados Pessoais
      • Sobre a LGPD
      • Glossário
      • Direito dos Titulares
      • Encarregado pelo Tratamento de Dados Pessoais
      • Canais de Comunicação
      • Avisos de Privacidade e Termos de Uso
      • Política de Cookies
      • Termo de Uso de APP Bolsistas CAPES
      • Termo Uso e Politica Privacidade App EDUCAPES
      • Termo Uso e Politica de Privacidade App Pesquisador
      • Termo Uso e Politica Privacidade App SISUAB
      • Política de Privacidade e Proteção de Dados Pessoais
      • Compartilhamento de Dados Pessoais
    • Programas, Projetos, Ações, Obras e Atividades
    • Plano Diretor de Logística Sustentável - PLS
  • Composição
  • Centrais de Conteúdo
    • Identidade Visual
    • Redes Sociais da CAPES
    • Catálogo de Teses e Dissertações
    • EduCAPES
    • Publicações
      • InfoCAPES
      • Revista CAPES em Foco
      • Impacto da pós-graduação brasileira na Agenda 2030
      • Agenda Nacional para a Formação de Pessoal de Nível Superior
    • PodCAPES
    • CAPES 72 anos
    • CAPES 70 anos
    • Portal de Periódicos
      • 2026
      • 2025
      • 2024
    • Produtos digitais da CAPES
    • Memória da Avaliação
    • COP 30
  • Centrais de Atendimento
    • Comunicação
    • Ouvidoria
    • Fale Conosco
Redefinir Cookies
Redes sociais
  • Facebook
  • Twitter
  • YouTube
  • Flickr
  • Instagram
Acesso àInformação
Todo o conteúdo deste site está publicado sob a licença Creative Commons Atribuição-SemDerivações 3.0 Não Adaptada.
Voltar ao topo da página
Fale Agora Refazer a busca