Ir para o Conteúdo 1 Ir para a Página Inicial 2 Ir para o menu de Navegação 3 Ir para a Busca 4 Ir para o Mapa do site 5
Abrir menu principal de navegação
CAPES
Termos mais buscados
  • imposto de renda
  • inss
  • assinatura
  • cnh social
  • mei
Termos mais buscados
  • imposto de renda
  • inss
  • assinatura
  • Assuntos
    • Notícias
    • Editais e resultados CAPES
      • Resultados 2026
      • Resultados 2025
      • Resultados 2024
      • Resultados 2023
      • Resultados 2022
      • Resultados 2021
      • Resultados 2020
      • Resultados 2019
      • Resultados anteriores
    • Prêmios
      • Prêmio CAPES de Tese
      • Prêmio CAPES Futuras Cientistas
      • Concurso MD/CAPES de Dissertações e Teses sobre Defesa Nacional (CDTDN)
      • Prêmio CAPES Talento Universitário - Documentos Relacionados
      • Concurso de Artigos Científicos sobre Fortalecimento de Vínculos Familiares em Tempos de Pandemia
      • Prêmio Tiradentes
      • Prêmio CAPES/Fundação Grupo Volkswagen de Excelência em Pesquisa em Mobilidade Urbana Sustentável
      • Prêmio CAPES/MINFRA
      • Prêmio CAPES - Natura Campus de Excelência em Pesquisa
      • Prêmio VALE-CAPES de Tecnologia e Inovação
      • Prêmio Top User Award/CAPES 2014
      • Prêmio Emerald/CAPES
      • Prêmio CAPES-Interfarma
      • Prêmio Anísio Teixeira
    • Campanhas
      • Campanha de Prevenção a Cursos Irregulares
    • Eventos
      • Eventos Avaliação
      • Eventos Pibid
      • Eventos Parfor
      • Eventos Observatório da Educação
      • I Encontro de Coordenadores do Programa Novos Talentos
      • I Seminário Nacional do Programa de Consolidação das Licenciaturas (Prodocência)
      • Seminário Residência Pedagógica
      • Seminário Lei do Bem
      • Seminário Internacional Repensando a universidade comparativamente entre pa´íses: Brasil. Rússia, Índia e China
      • Seminário Internacional Repensando a universidade comparativamente: perplexidades, políticas e paradoxos
      • I Encontro Nacional do Life
      • III Encontro Acadêmico Internacional: Interdisciplinaridade nas universidades brasileiras - Resultados e Desafios
      • Workshop Brazil/U.S. Women in Sciences and Engineering
      • Fórum Internacional CAPES/Brafagri
      • IX Fórum Brafitec
      • Educação Comparada - 2013
      • Encontro Acadêmico Internacional
      • III Colóquio Saint Hilaire
      • Seminário Estruturas em Aço, Ensino e Pesquisa Científica e Tecnológica.
    • Arquivo Central da CAPES
    • Aplicativos CAPES
    • Painel de Monitoramento e Indicadores
  • Acesso à Informação
    • Institucional
      • História e missão
      • Base jurídica da estrutura organizacional e das competências
      • Estrutura organizacional
      • Quem é quem
      • Orçamento - Evolução em reais
      • Dados Bancários
      • Competências
      • Horário de atendimento
      • Agenda de Autoridades
      • Corregedoria
      • Atos normativos
    • Ações e Programas
      • Avaliação
      • Apoio a Eventos
      • Bolsas e Estudantes
      • Articulação e Inovação em Educação Aberta
      • Formação de Professores da Educação Básica
      • Tecnologia da Informação
      • Plano Nacional de Pós-Graduação - PNPG
      • Carta de Serviços ao Usuário
      • Governança
      • Seleção Organismo Internacional
      • Outras Ações
    • Participação Social
      • Ouvidoria
      • Conselhos e órgãos colegiados
    • Auditorias
      • Prestação de Contas
      • Rol de Responsáveis
      • Relatórios da CGU
      • Plano Anual de Atividades de Auditoria Interna (PAINT)
      • Relatório Anual de Atividades de Auditoria Interna (RAINT)
      • Ações de supervisão, controle e correição
      • Normas e Manuais
    • Convênios e Transferências
    • Receitas e despesas
      • Diárias e Passagens
      • Execução Orçamentária e Financeira
      • Cartões de Pagamento
      • Empenho, liquidação e pagamento
      • Orçamento Unidade Orçamentária CAPES– Dotação Inicial e Dotação Atualizada
      • Relatório bimestral de pagamentos
      • Dados de Emenda de Relator-Geral na LOA
      • Receita Pública
      • Renuncia de Receitas
      • Notas Fiscais Eletrônicas
      • Dados para o Relatório de Gestão
    • Licitações e Contratos
      • Licitações
      • Contratos vigentes
      • Chamadas públicas
      • Plano de Contratações Anual
      • Termos de fomento
      • Dispensa de licitação
      • Inexigibilidade de licitação
      • Inexigibilidade de licitação - Portal de Periódicos
      • Concorrências
    • Termos de Execução Descentralizada
      • Termo de Descentralização de Demanda (TED) – CAPES
      • Termo de Descentralização de Demanda (TED) – Portal dos Periódicos
    • Acordos de Cooperação Técnica
    • Servidores
      • Concursos Públicos CAPES
      • Quantitativo de Estagiários
      • Edital seleção
      • Ingresso de novos servidores
    • Informações Classificadas
    • Serviço de Informação ao Cidadão - SIC
      • O Serviço de Informação ao Cidadão - SIC
      • Modelo de formulários
      • Plataforma Fala.BR
      • Relatórios Anuais da Autoridade de Monitoramento da LAI
      • A Lei de Acesso à Informação - LAI
      • Editais de chamamento público
      • Fluxos
      • Painel LAI
      • Plano de Integração dos Serviços à Plataforma de Cidadania Digital
      • Canais Específicos
    • Perguntas Frequentes
      • Sobre a CAPES
      • Avaliação da Pós-graduação
      • Bolsas e Auxílios Internacionais
      • Programas e Bolsas no País
      • Educação a Distância
      • Formação de Professores da Educação Básica
      • Tecnologia da Informação da CAPES
      • AUXPE, Prestação de Contas e Cobranças Administrativas
      • Outros assuntos da CAPES
    • Dados Abertos
    • Sanções Administrativas
    • Agenda de Autoridades
    • Sistema Eletrônico de Informações - SEI
      • Usuário Externo
      • Validação de documentos
      • Usuário Interno
      • Protocolo GOV.BR
      • Pesquisa Pública
      • Peticionamento Eletrônico
    • Transparência e Prestação de Contas
      • Relatórios de Gestão
      • Objetivo, Metas e Indicadores de Desempenho
      • Demonstrações contábeis
      • Valor público
      • Supervisão, Controle e Correição
      • Estrutura Organizacional, cargos e contatos institucionais
      • Programas, Projetos e Ações
      • Transferências de Recursos Financeiros
      • Execução Orçamentária e Financeira
      • Licitações e Contratos
      • Servidores
      • Serviço de Informação ao Cidadão (SIC)
      • Rol de Responsáveis
      • Dados Abertos
      • Transparência Pagamento a Bolsistas
      • GeoCAPES
      • Conferências
    • Prestação de Contas e Cobrança Administrativa
      • Regulamento da concessão, aplicação e prestação de contas do Auxílio Financeiro a Projeto Educacional ou de Pesquisa e Pós-Graduação - AUXPE
      • Regulamenta os procedimentos relacionados à cobrança administrativa na CAPES
    • Manual Cartão Pesquisador
    • Privacidade e Proteção de Dados Pessoais
      • Sobre a LGPD
      • Glossário
      • Direito dos Titulares
      • Encarregado pelo Tratamento de Dados Pessoais
      • Canais de Comunicação
      • Avisos de Privacidade e Termos de Uso
      • Política de Cookies
      • Termo de Uso de APP Bolsistas CAPES
      • Termo Uso e Politica Privacidade App EDUCAPES
      • Termo Uso e Politica de Privacidade App Pesquisador
      • Termo Uso e Politica Privacidade App SISUAB
      • Política de Privacidade e Proteção de Dados Pessoais
      • Compartilhamento de Dados Pessoais
    • Programas, Projetos, Ações, Obras e Atividades
    • Plano Diretor de Logística Sustentável - PLS
  • Composição
  • Centrais de Conteúdo
    • Identidade Visual
    • Redes Sociais da CAPES
    • Catálogo de Teses e Dissertações
    • EduCAPES
    • Publicações
      • InfoCAPES
      • Revista CAPES em Foco
      • Impacto da pós-graduação brasileira na Agenda 2030
      • Agenda Nacional para a Formação de Pessoal de Nível Superior
    • PodCAPES
    • CAPES 72 anos
    • CAPES 70 anos
    • Portal de Periódicos
      • 2026
      • 2025
      • 2024
    • Produtos digitais da CAPES
    • Memória da Avaliação
    • COP 30
    • CAPES 75 anos
  • Centrais de Atendimento
    • Comunicação
    • Ouvidoria
    • Fale Conosco
  • GOV.BR
    • Serviços
      • Buscar serviços por
        • Categorias
        • Órgãos
        • Estados
      • Serviços por público alvo
        • Cidadãos
        • Empresas
        • Órgãos e Entidades Públicas
        • Demais segmentos (ONGs, organizações sociais, etc)
        • Servidor Público
    • Temas em Destaque
      • Orçamento Nacional
      • Redes de Atendimento do Governo Federal
      • Proteção de Dados Pessoais
      • Serviços para Imigrantes
      • Política e Orçamento Educacionais
      • Educação Profissional e Tecnológica
      • Educação Profissional para Jovens e Adultos
      • Trabalho e Emprego
      • Serviços para Pessoas com Deficiência
      • Combate à Discriminação Racial
      • Política de Proteção Social
      • Política para Mulheres
      • Saúde Reprodutiva da Mulher
      • Cuidados na Primeira Infância
      • Habitação Popular
      • Controle de Poluição e Resíduos Sólidos
    • Notícias
      • Serviços para o cidadão
      • Saúde
      • Agricultura e Pecuária
      • Cidadania e Assistência Social
      • Ciência e Tecnologia
      • Comunicação
      • Cultura e Esporte
      • Economia e Gestão Pública
      • Educação e Pesquisa
      • Energia
      • Forças Armadas e Defesa Civil
      • Infraestrutura
      • Justiça e Segurança
      • Meio Ambiente
      • Trabalho e Previdência
      • Turismo
    • Galeria de Aplicativos
    • Acompanhe o Planalto
    • Navegação
      • Acessibilidade
      • Mapa do Site
      • Termo de Uso e Aviso de Privacidade
    • Consultar minhas solicitações
    • Órgãos do Governo
    • Por dentro do Gov.br
      • Dúvidas Frequentes em relação ao Portal gov.br
      • Dúvidas Frequentes da conta gov.br
      • Ajuda para Navegar o Portal
      • Conheça os elementos do Portal
      • Política de e-participação
      • Termos de Uso
      • Governo Digital
      • Guia de Edição de Serviços do Portal Gov.br
    • Canais do Executivo Federal
    • Dados do Governo Federal
      • Dados Abertos
      • Painel Estatístico de Pessoal
      • Painel de Compras do Governo Federal
      • Acesso à Informação
    • Empresas e Negócios
Links Úteis
  • Galeria de Aplicativos
  • Participe
  • Galeria de Aplicativos
  • Participe
Redes sociais
  • Facebook
  • Twitter
  • YouTube
  • Flickr
  • Instagram
Você está aqui: Página Inicial Assuntos Notícias Pesquisa alerta para possíveis riscos do jejum intermitente
Info

Notícias

SAÚDE

Pesquisa alerta para possíveis riscos do jejum intermitente

Estudo aponta danos ao cérebro e ao intestino; por outro lado, identifica efeito antidepressivo e redução da ansiedade
Compartilhe por Facebook Compartilhe por Twitter Compartilhe por LinkedIn Compartilhe por WhatsApp link para Copiar para área de transferência
Publicado em 14/09/2021 15h10 Atualizado em 01/11/2022 13h18

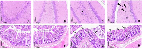
Pesquisa da Universidade Federal da Paraíba (UFPB) financiada pela CAPES identificou possíveis riscos do jejum intermitente. Os experimentos demonstraram que o ato de intercalar longos períodos de jejum com de alimentação pode causar danos a células cerebrais e intestinais. Por outro lado, constatou-se efeito antidepressivo e redução de ansiedade.

Jailane Aquino, Professora do Departamento de Nutrição da UFPB, idealizou e coordena o projeto que investiga potenciais benefícios e malefícios da prática. “Muitas pessoas estão fazendo o jejum sem acompanhamento e os resultados são controversos”, explicou.

Em laboratório, ratinhos saudáveis foram divididos em quatro grupos: com jejum e exercícios aeróbicos, sem jejum e com exercícios aeróbicos, com exercícios aeróbicos e sem jejum e sem exercícios aeróbicos e sem jejum. Os que jejuaram e se exercitaram apresentaram redução de ansiedade. Todos que jejuaram apresentaram efeito antidepressivo.

As reações adversas, no entanto, se destacaram. “O que mais nos surpreendeu foram danos em neurônios e nas vilosidades do cólon dos ratos. Poucos estudos apontam os efeitos negativos do jejum, especialmente em se tratando de animais ou pessoas sadias”, afirma Jailane, que coordena o Laboratório de Nutrição Experimental da UFPB, palco dos experimentos.

Os estudos resultaram em um artigo na revista internacional Journal of Affective Disorders , publicado pela editora Elsevier, especializada em conteúdos científicos, técnicos e médicos. Naís Soares, doutoranda do Programa de Pós-Graduação em Ciências da Nutrição da UFPB com bolsa da CAPES, é a principal autora. A publicação é parte do trabalho de conclusão de seu mestrado, também financiado pela Fundação.

No doutorado, Naís continua a avançar na pesquisa. “Os resultados servem como alerta, mas ainda são necessários estudos clínicos bem controlados, com humanos já adeptos dessa intervenção, para que se possa confirmar se esses danos também ocorrem em humanos e, caso ocorram, quanto tempo leva para isso ocorrer”, explicou. E enfatizou: “É sempre de extrema importância o acompanhamento de um nutricionista quando for iniciar essa intervenção, para garantir que o protocolo seja feito de forma correta e segura.”

Programa de Apoio à Pós-Graduação
Além de bolsas, os projetos contam com recursos do Programa de Apoio à Pós-Graduação ( Proap ). A iniciativa, da CAPES, financia atividades de cursos de pós-graduação. No caso do projeto da UFPB, viabilizou a ida de alunos ao Instituto Federal de Pernambuco (IFPE), onde se deu parte das análises dos experimentos.

Legenda das imagens:
Banner: Imagem ilustrativa (Foto: iStock/PHELLINGSMEDIA)
Imagem 1: Imagem descreve o dia-a-dia dos testes com os ratos em laboratório (Foto: Arquivo Pessoal)
Imagem 2: Jailane Aquino é idealizadora e coordenadora do projeto que identificou possíveis riscos do jejum intermitente (Foto: Arquivo pessoal)
Imagem 3: Gráfico mostra danos a células cerebrais de ratos que foram submetidos a jejuns intermitentes (Foto: Arquivo pessoal)
Imagem 4: Naís Soares foi bolsista da CAPES no mestrado e é no doutorado; em ambas as etapas, estudando o jejum intermitente (Foto: Arquivo pessoal)

A Coordenação de Aperfeiçoamento de Pessoal de Nível Superior (CAPES) é um órgão vinculado ao Ministério da Educação (MEC).
(Brasília – Redação CCS/CAPES)
A reprodução das notícias é autorizada desde que contenha a assinatura CCS/CAPES

Tags: CAPESUFPBPROAPJEJUM INTERMITENTEPESQUISA
Compartilhe por Facebook Compartilhe por Twitter Compartilhe por LinkedIn Compartilhe por WhatsApp link para Copiar para área de transferência
  • Assuntos
    • Notícias
    • Editais e resultados CAPES
      • Resultados 2026
      • Resultados 2025
      • Resultados 2024
      • Resultados 2023
      • Resultados 2022
      • Resultados 2021
      • Resultados 2020
      • Resultados 2019
      • Resultados anteriores
    • Prêmios
      • Prêmio CAPES de Tese
      • Prêmio CAPES Futuras Cientistas
      • Concurso MD/CAPES de Dissertações e Teses sobre Defesa Nacional (CDTDN)
      • Prêmio CAPES Talento Universitário - Documentos Relacionados
      • Concurso de Artigos Científicos sobre Fortalecimento de Vínculos Familiares em Tempos de Pandemia
      • Prêmio Tiradentes
      • Prêmio CAPES/Fundação Grupo Volkswagen de Excelência em Pesquisa em Mobilidade Urbana Sustentável
      • Prêmio CAPES/MINFRA
      • Prêmio CAPES - Natura Campus de Excelência em Pesquisa
      • Prêmio VALE-CAPES de Tecnologia e Inovação
      • Prêmio Top User Award/CAPES 2014
      • Prêmio Emerald/CAPES
      • Prêmio CAPES-Interfarma
      • Prêmio Anísio Teixeira
    • Campanhas
      • Campanha de Prevenção a Cursos Irregulares
    • Eventos
      • Eventos Avaliação
      • Eventos Pibid
      • Eventos Parfor
      • Eventos Observatório da Educação
      • I Encontro de Coordenadores do Programa Novos Talentos
      • I Seminário Nacional do Programa de Consolidação das Licenciaturas (Prodocência)
      • Seminário Residência Pedagógica
      • Seminário Lei do Bem
      • Seminário Internacional Repensando a universidade comparativamente entre pa´íses: Brasil. Rússia, Índia e China
      • Seminário Internacional Repensando a universidade comparativamente: perplexidades, políticas e paradoxos
      • I Encontro Nacional do Life
      • III Encontro Acadêmico Internacional: Interdisciplinaridade nas universidades brasileiras - Resultados e Desafios
      • Workshop Brazil/U.S. Women in Sciences and Engineering
      • Fórum Internacional CAPES/Brafagri
      • IX Fórum Brafitec
      • Educação Comparada - 2013
      • Encontro Acadêmico Internacional
      • III Colóquio Saint Hilaire
      • Seminário Estruturas em Aço, Ensino e Pesquisa Científica e Tecnológica.
    • Arquivo Central da CAPES
    • Aplicativos CAPES
    • Painel de Monitoramento e Indicadores
  • Acesso à Informação
    • Institucional
      • História e missão
      • Base jurídica da estrutura organizacional e das competências
      • Estrutura organizacional
      • Quem é quem
      • Orçamento - Evolução em reais
      • Dados Bancários
      • Competências
      • Horário de atendimento
      • Agenda de Autoridades
      • Corregedoria
      • Atos normativos
    • Ações e Programas
      • Avaliação
      • Apoio a Eventos
      • Bolsas e Estudantes
      • Articulação e Inovação em Educação Aberta
      • Formação de Professores da Educação Básica
      • Tecnologia da Informação
      • Plano Nacional de Pós-Graduação - PNPG
      • Carta de Serviços ao Usuário
      • Governança
      • Seleção Organismo Internacional
      • Outras Ações
    • Participação Social
      • Ouvidoria
      • Conselhos e órgãos colegiados
    • Auditorias
      • Prestação de Contas
      • Rol de Responsáveis
      • Relatórios da CGU
      • Plano Anual de Atividades de Auditoria Interna (PAINT)
      • Relatório Anual de Atividades de Auditoria Interna (RAINT)
      • Ações de supervisão, controle e correição
      • Normas e Manuais
    • Convênios e Transferências
    • Receitas e despesas
      • Diárias e Passagens
      • Execução Orçamentária e Financeira
      • Cartões de Pagamento
      • Empenho, liquidação e pagamento
      • Orçamento Unidade Orçamentária CAPES– Dotação Inicial e Dotação Atualizada
      • Relatório bimestral de pagamentos
      • Dados de Emenda de Relator-Geral na LOA
      • Receita Pública
      • Renuncia de Receitas
      • Notas Fiscais Eletrônicas
      • Dados para o Relatório de Gestão
    • Licitações e Contratos
      • Licitações
      • Contratos vigentes
      • Chamadas públicas
      • Plano de Contratações Anual
      • Termos de fomento
      • Dispensa de licitação
      • Inexigibilidade de licitação
      • Inexigibilidade de licitação - Portal de Periódicos
      • Concorrências
    • Termos de Execução Descentralizada
      • Termo de Descentralização de Demanda (TED) – CAPES
      • Termo de Descentralização de Demanda (TED) – Portal dos Periódicos
    • Acordos de Cooperação Técnica
    • Servidores
      • Concursos Públicos CAPES
      • Quantitativo de Estagiários
      • Edital seleção
      • Ingresso de novos servidores
    • Informações Classificadas
    • Serviço de Informação ao Cidadão - SIC
      • O Serviço de Informação ao Cidadão - SIC
      • Modelo de formulários
      • Plataforma Fala.BR
      • Relatórios Anuais da Autoridade de Monitoramento da LAI
      • A Lei de Acesso à Informação - LAI
      • Editais de chamamento público
      • Fluxos
      • Painel LAI
      • Plano de Integração dos Serviços à Plataforma de Cidadania Digital
      • Canais Específicos
    • Perguntas Frequentes
      • Sobre a CAPES
      • Avaliação da Pós-graduação
      • Bolsas e Auxílios Internacionais
      • Programas e Bolsas no País
      • Educação a Distância
      • Formação de Professores da Educação Básica
      • Tecnologia da Informação da CAPES
      • AUXPE, Prestação de Contas e Cobranças Administrativas
      • Outros assuntos da CAPES
    • Dados Abertos
    • Sanções Administrativas
    • Agenda de Autoridades
    • Sistema Eletrônico de Informações - SEI
      • Usuário Externo
      • Validação de documentos
      • Usuário Interno
      • Protocolo GOV.BR
      • Pesquisa Pública
      • Peticionamento Eletrônico
    • Transparência e Prestação de Contas
      • Relatórios de Gestão
      • Objetivo, Metas e Indicadores de Desempenho
      • Demonstrações contábeis
      • Valor público
      • Supervisão, Controle e Correição
      • Estrutura Organizacional, cargos e contatos institucionais
      • Programas, Projetos e Ações
      • Transferências de Recursos Financeiros
      • Execução Orçamentária e Financeira
      • Licitações e Contratos
      • Servidores
      • Serviço de Informação ao Cidadão (SIC)
      • Rol de Responsáveis
      • Dados Abertos
      • Transparência Pagamento a Bolsistas
      • GeoCAPES
      • Conferências
    • Prestação de Contas e Cobrança Administrativa
      • Regulamento da concessão, aplicação e prestação de contas do Auxílio Financeiro a Projeto Educacional ou de Pesquisa e Pós-Graduação - AUXPE
      • Regulamenta os procedimentos relacionados à cobrança administrativa na CAPES
    • Manual Cartão Pesquisador
    • Privacidade e Proteção de Dados Pessoais
      • Sobre a LGPD
      • Glossário
      • Direito dos Titulares
      • Encarregado pelo Tratamento de Dados Pessoais
      • Canais de Comunicação
      • Avisos de Privacidade e Termos de Uso
      • Política de Cookies
      • Termo de Uso de APP Bolsistas CAPES
      • Termo Uso e Politica Privacidade App EDUCAPES
      • Termo Uso e Politica de Privacidade App Pesquisador
      • Termo Uso e Politica Privacidade App SISUAB
      • Política de Privacidade e Proteção de Dados Pessoais
      • Compartilhamento de Dados Pessoais
    • Programas, Projetos, Ações, Obras e Atividades
    • Plano Diretor de Logística Sustentável - PLS
  • Composição
  • Centrais de Conteúdo
    • Identidade Visual
    • Redes Sociais da CAPES
    • Catálogo de Teses e Dissertações
    • EduCAPES
    • Publicações
      • InfoCAPES
      • Revista CAPES em Foco
      • Impacto da pós-graduação brasileira na Agenda 2030
      • Agenda Nacional para a Formação de Pessoal de Nível Superior
    • PodCAPES
    • CAPES 72 anos
    • CAPES 70 anos
    • Portal de Periódicos
      • 2026
      • 2025
      • 2024
    • Produtos digitais da CAPES
    • Memória da Avaliação
    • COP 30
    • CAPES 75 anos
  • Centrais de Atendimento
    • Comunicação
    • Ouvidoria
    • Fale Conosco
Redefinir Cookies
Redes sociais
  • Facebook
  • Twitter
  • YouTube
  • Flickr
  • Instagram
Acesso àInformação
Todo o conteúdo deste site está publicado sob a licença Creative Commons Atribuição-SemDerivações 3.0 Não Adaptada.
Voltar ao topo da página
Fale Agora Refazer a busca