Ir para o Conteúdo 1 Ir para a Página Inicial 2 Ir para o menu de Navegação 3 Ir para a Busca 4 Ir para o Mapa do site 5
Abrir menu principal de navegação
CAPES
Termos mais buscados
  • imposto de renda
  • inss
  • assinatura
  • cnh social
  • mei
Termos mais buscados
  • imposto de renda
  • inss
  • assinatura
  • Assuntos
    • Notícias
    • Editais e resultados CAPES
      • Resultados 2026
      • Resultados 2025
      • Resultados 2024
      • Resultados 2023
      • Resultados 2022
      • Resultados 2021
      • Resultados 2020
      • Resultados 2019
      • Resultados anteriores
    • Prêmios
      • Prêmio CAPES de Tese
      • Prêmio CAPES Futuras Cientistas
      • Concurso MD/CAPES de Dissertações e Teses sobre Defesa Nacional (CDTDN)
      • Prêmio CAPES Talento Universitário - Documentos Relacionados
      • Concurso de Artigos Científicos sobre Fortalecimento de Vínculos Familiares em Tempos de Pandemia
      • Prêmio Tiradentes
      • Prêmio CAPES/Fundação Grupo Volkswagen de Excelência em Pesquisa em Mobilidade Urbana Sustentável
      • Prêmio CAPES/MINFRA
      • Prêmio CAPES - Natura Campus de Excelência em Pesquisa
      • Prêmio VALE-CAPES de Tecnologia e Inovação
      • Prêmio Top User Award/CAPES 2014
      • Prêmio Emerald/CAPES
      • Prêmio CAPES-Interfarma
      • Prêmio Anísio Teixeira
    • Campanhas
      • Campanha de Prevenção a Cursos Irregulares
    • Eventos
      • Eventos Avaliação
      • Eventos Pibid
      • Eventos Parfor
      • Eventos Observatório da Educação
      • I Encontro de Coordenadores do Programa Novos Talentos
      • I Seminário Nacional do Programa de Consolidação das Licenciaturas (Prodocência)
      • Seminário Residência Pedagógica
      • Seminário Lei do Bem
      • Seminário Internacional Repensando a universidade comparativamente entre pa´íses: Brasil. Rússia, Índia e China
      • Seminário Internacional Repensando a universidade comparativamente: perplexidades, políticas e paradoxos
      • I Encontro Nacional do Life
      • III Encontro Acadêmico Internacional: Interdisciplinaridade nas universidades brasileiras - Resultados e Desafios
      • Workshop Brazil/U.S. Women in Sciences and Engineering
      • Fórum Internacional CAPES/Brafagri
      • IX Fórum Brafitec
      • Educação Comparada - 2013
      • Encontro Acadêmico Internacional
      • III Colóquio Saint Hilaire
      • Seminário Estruturas em Aço, Ensino e Pesquisa Científica e Tecnológica.
    • Arquivo Central da CAPES
    • Aplicativos CAPES
    • Painel de Monitoramento e Indicadores
  • Acesso à Informação
    • Institucional
      • História e missão
      • Base jurídica da estrutura organizacional e das competências
      • Estrutura organizacional
      • Quem é quem
      • Orçamento - Evolução em reais
      • Dados Bancários
      • Competências
      • Horário de atendimento
      • Agenda de Autoridades
      • Corregedoria
      • Atos normativos
    • Ações e Programas
      • Avaliação
      • Apoio a Eventos
      • Bolsas e Estudantes
      • Articulação e Inovação em Educação Aberta
      • Formação de Professores da Educação Básica
      • Tecnologia da Informação
      • Plano Nacional de Pós-Graduação - PNPG
      • Carta de Serviços ao Usuário
      • Governança
      • Seleção Organismo Internacional
      • Outras Ações
    • Participação Social
      • Ouvidoria
      • Conselhos e órgãos colegiados
    • Auditorias
      • Prestação de Contas
      • Rol de Responsáveis
      • Relatórios da CGU
      • Plano Anual de Atividades de Auditoria Interna (PAINT)
      • Relatório Anual de Atividades de Auditoria Interna (RAINT)
      • Ações de supervisão, controle e correição
      • Normas e Manuais
    • Convênios e Transferências
    • Receitas e despesas
      • Diárias e Passagens
      • Execução Orçamentária e Financeira
      • Cartões de Pagamento
      • Empenho, liquidação e pagamento
      • Orçamento Unidade Orçamentária CAPES– Dotação Inicial e Dotação Atualizada
      • Relatório bimestral de pagamentos
      • Dados de Emenda de Relator-Geral na LOA
      • Receita Pública
      • Renuncia de Receitas
      • Notas Fiscais Eletrônicas
      • Dados para o Relatório de Gestão
    • Licitações e Contratos
      • Licitações
      • Contratos vigentes
      • Chamadas públicas
      • Plano de Contratações Anual
      • Termos de fomento
      • Dispensa de licitação
      • Inexigibilidade de licitação
      • Inexigibilidade de licitação - Portal de Periódicos
      • Concorrências
    • Termos de Execução Descentralizada
      • Termo de Descentralização de Demanda (TED) – CAPES
      • Termo de Descentralização de Demanda (TED) – Portal dos Periódicos
    • Acordos de Cooperação Técnica
    • Servidores
      • Concursos Públicos CAPES
      • Quantitativo de Estagiários
      • Edital seleção
      • Ingresso de novos servidores
    • Informações Classificadas
    • Serviço de Informação ao Cidadão - SIC
      • O Serviço de Informação ao Cidadão - SIC
      • Modelo de formulários
      • Plataforma Fala.BR
      • Relatórios Anuais da Autoridade de Monitoramento da LAI
      • A Lei de Acesso à Informação - LAI
      • Editais de chamamento público
      • Fluxos
      • Painel LAI
      • Plano de Integração dos Serviços à Plataforma de Cidadania Digital
      • Canais Específicos
    • Perguntas Frequentes
      • Sobre a CAPES
      • Avaliação da Pós-graduação
      • Bolsas e Auxílios Internacionais
      • Programas e Bolsas no País
      • Educação a Distância
      • Formação de Professores da Educação Básica
      • Tecnologia da Informação da CAPES
      • AUXPE, Prestação de Contas e Cobranças Administrativas
      • Outros assuntos da CAPES
    • Dados Abertos
    • Sanções Administrativas
    • Agenda de Autoridades
    • Sistema Eletrônico de Informações - SEI
      • Usuário Externo
      • Validação de documentos
      • Usuário Interno
      • Protocolo GOV.BR
      • Pesquisa Pública
      • Peticionamento Eletrônico
    • Transparência e Prestação de Contas
      • Relatórios de Gestão
      • Objetivo, Metas e Indicadores de Desempenho
      • Demonstrações contábeis
      • Valor público
      • Supervisão, Controle e Correição
      • Estrutura Organizacional, cargos e contatos institucionais
      • Programas, Projetos e Ações
      • Transferências de Recursos Financeiros
      • Execução Orçamentária e Financeira
      • Licitações e Contratos
      • Servidores
      • Serviço de Informação ao Cidadão (SIC)
      • Rol de Responsáveis
      • Dados Abertos
      • Transparência Pagamento a Bolsistas
      • GeoCAPES
      • Conferências
    • Prestação de Contas e Cobrança Administrativa
      • Regulamento da concessão, aplicação e prestação de contas do Auxílio Financeiro a Projeto Educacional ou de Pesquisa e Pós-Graduação - AUXPE
      • Regulamenta os procedimentos relacionados à cobrança administrativa na CAPES
    • Manual Cartão Pesquisador
    • Privacidade e Proteção de Dados Pessoais
      • Sobre a LGPD
      • Glossário
      • Direito dos Titulares
      • Encarregado pelo Tratamento de Dados Pessoais
      • Canais de Comunicação
      • Avisos de Privacidade e Termos de Uso
      • Política de Cookies
      • Termo de Uso de APP Bolsistas CAPES
      • Termo Uso e Politica Privacidade App EDUCAPES
      • Termo Uso e Politica de Privacidade App Pesquisador
      • Termo Uso e Politica Privacidade App SISUAB
      • Política de Privacidade e Proteção de Dados Pessoais
      • Compartilhamento de Dados Pessoais
    • Programas, Projetos, Ações, Obras e Atividades
    • Plano Diretor de Logística Sustentável - PLS
  • Composição
  • Centrais de Conteúdo
    • Identidade Visual
    • Redes Sociais da CAPES
    • Catálogo de Teses e Dissertações
    • EduCAPES
    • Publicações
      • InfoCAPES
      • Revista CAPES em Foco
      • Impacto da pós-graduação brasileira na Agenda 2030
      • Agenda Nacional para a Formação de Pessoal de Nível Superior
    • PodCAPES
    • CAPES 72 anos
    • CAPES 70 anos
    • Portal de Periódicos
      • 2026
      • 2025
      • 2024
    • Produtos digitais da CAPES
    • Memória da Avaliação
    • COP 30
  • Centrais de Atendimento
    • Comunicação
    • Ouvidoria
    • Fale Conosco
  • GOV.BR
    • Serviços
      • Buscar serviços por
        • Categorias
        • Órgãos
        • Estados
      • Serviços por público alvo
        • Cidadãos
        • Empresas
        • Órgãos e Entidades Públicas
        • Demais segmentos (ONGs, organizações sociais, etc)
        • Servidor Público
    • Temas em Destaque
      • Orçamento Nacional
      • Redes de Atendimento do Governo Federal
      • Proteção de Dados Pessoais
      • Serviços para Imigrantes
      • Política e Orçamento Educacionais
      • Educação Profissional e Tecnológica
      • Educação Profissional para Jovens e Adultos
      • Trabalho e Emprego
      • Serviços para Pessoas com Deficiência
      • Combate à Discriminação Racial
      • Política de Proteção Social
      • Política para Mulheres
      • Saúde Reprodutiva da Mulher
      • Cuidados na Primeira Infância
      • Habitação Popular
      • Controle de Poluição e Resíduos Sólidos
    • Notícias
      • Serviços para o cidadão
      • Saúde
      • Agricultura e Pecuária
      • Cidadania e Assistência Social
      • Ciência e Tecnologia
      • Comunicação
      • Cultura e Esporte
      • Economia e Gestão Pública
      • Educação e Pesquisa
      • Energia
      • Forças Armadas e Defesa Civil
      • Infraestrutura
      • Justiça e Segurança
      • Meio Ambiente
      • Trabalho e Previdência
      • Turismo
    • Galeria de Aplicativos
    • Acompanhe o Planalto
    • Navegação
      • Acessibilidade
      • Mapa do Site
      • Termo de Uso e Aviso de Privacidade
    • Consultar minhas solicitações
    • Órgãos do Governo
    • Por dentro do Gov.br
      • Dúvidas Frequentes em relação ao Portal gov.br
      • Dúvidas Frequentes da conta gov.br
      • Ajuda para Navegar o Portal
      • Conheça os elementos do Portal
      • Política de e-participação
      • Termos de Uso
      • Governo Digital
      • Guia de Edição de Serviços do Portal Gov.br
    • Canais do Executivo Federal
    • Dados do Governo Federal
      • Dados Abertos
      • Painel Estatístico de Pessoal
      • Painel de Compras do Governo Federal
      • Acesso à Informação
    • Empresas e Negócios
Links Úteis
  • Galeria de Aplicativos
  • Participe
  • Galeria de Aplicativos
  • Participe
Redes sociais
  • Facebook
  • Twitter
  • YouTube
  • Flickr
  • Instagram
Você está aqui: Página Inicial Assuntos Notícias Bolsista da CAPES descobre yaravirus brasiliensis, que infecta amebas
Info

Notícias

Bolsista da CAPES descobre yaravirus brasiliensis, que infecta amebas

Compartilhe por Facebook Compartilhe por Twitter Compartilhe por LinkedIn Compartilhe por WhatsApp link para Copiar para área de transferência
Publicado em 18/03/2020 12h13 Atualizado em 01/11/2022 13h09
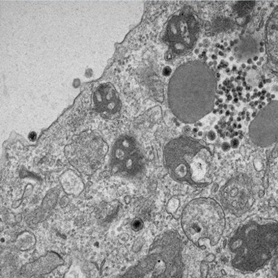
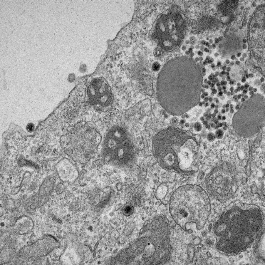
25032020-bannerdestaque-Virus_iara.jpg

Vírus iara 2

Bióloga pela Universidade Federal de Minas Gerais (UFMG), Graziele Oliveira possui mestrado e doutorado em Microbiologia, pela mesma instituição. Em seu trabalho desenvolvido durante o pós-doutorado, na França, a pesquisadora identificou um vírus que infecta as amebas, o yaravirus brasiliensis .

Fale sobre o seu trabalho.
Durante o pós-doutorado realizei a caracterização de um vírus que infecta amebas, o yaravirus brasiliensis . O vírus iara (em inglês, Yaravírus ) foi isolado a partir de amostras coletadas na Lagoa da Pampulha. Imagens de microscopia eletrônica mostraram que esse vírus mede aproximadamente 80nm, o que corresponde a um tamanho pequeno, se comparado com outros vírus que infectam amebas descritos até o momento. No entanto, a característica mais inusitada referente a esse vírus é o seu genoma, que apresenta mais de 90% dos seus genes nunca antes descritos. Isso pode culminar em alterações na classificação de vírus de DNA, bem como em estudos futuros de caracterização de novas vias metabólicas.

Como se deu o interesse em trabalhar com o assunto?
Em 2013 me inseri no Grupo de Estudo e Prospecção de Vírus Gigantes (Gepvig) que tem como alvo a descoberta e caracterização biológica e molecular de vírus que infectam amebas, com destaque para os vírus gigantes. O tamanho reduzido do vírus iara e seu caráter fastidioso despertou nosso interesse em estudá-lo mais profundamente, principalmente seu genoma. Isso nos trouxe interessantes surpresas. O principal objetivo da pesquisa foi caracterizar uma nova espécie viral em termos biológicos e moleculares.

Quais são essas surpresas?
O sequenciamento do genoma do yaravirus brasiliensis mostrou que os seus genes não apresentavam similaridade com nenhum outro vírus ou organismo disponíveis nos bancos de dados. Ou seja, a maior parte dos seus genes são novos e nunca foram estudados, apresentando assim um potencial muito interessante para estudos futuros e novas descobertas. Essas e outras características reforçam que o vírus iara deverá formar um novo agrupamento taxonômico, provavelmente uma nova família viral.

LagoaDapampulha

Qual a importância deste trabalho para a realidade brasileira?
O Brasil é um país com ampla biodiversidade, se tornando importante a busca e descoberta de novos vírus. Isto aumenta os conhecimentos sobre nossa diversidade e, consequentemente, abre portas para estudos ecológicos e evolutivos. Além disso, considerando-se que o vírus apresenta mais de 90% de seus genes desconhecidos, novas vias metabólicas podem ser caracterizadas, o que pode representar um potencial biotecnológico e farmacológico. Além disso, a imprensa e pesquisadores de várias partes do mundo discutiram e debateram o seu caráter inédito.

O vírus representa algum perigo para os seres humanos?
O vírus iara apresenta como hospedeiro amebas de vida livre. Sendo assim, não são capazes de infectar humanos e outros animais. Não representando nenhum risco para nós.

Qual a importância do apoio da CAPES?
A CAPES exerceu importância fundamental no desenvolvimento desse estudo, uma vez que, financiou minha bolsa e permitiu que a pesquisa fosse desenvolvida no exterior, ampliando as possibilidades para os estudos desse novo vírus.

Quais são os próximos passos?
Continuar a caracterização biológica mais aprofundada, em busca de novas vias metabólicas que poderão ser úteis em aplicações futuras. Além disso, continuaremos em busca de novos vírus, que podem estar relacionados ao iara, contribuindo para uma melhor compreensão da evolução dos vírus e de outros organismos.

(Brasília – Redação CCS/CAPES)
A reprodução das notícias é autorizada desde que contenha a assinatura CCS/CAPES

Compartilhe por Facebook Compartilhe por Twitter Compartilhe por LinkedIn Compartilhe por WhatsApp link para Copiar para área de transferência
  • Assuntos
    • Notícias
    • Editais e resultados CAPES
      • Resultados 2026
      • Resultados 2025
      • Resultados 2024
      • Resultados 2023
      • Resultados 2022
      • Resultados 2021
      • Resultados 2020
      • Resultados 2019
      • Resultados anteriores
    • Prêmios
      • Prêmio CAPES de Tese
      • Prêmio CAPES Futuras Cientistas
      • Concurso MD/CAPES de Dissertações e Teses sobre Defesa Nacional (CDTDN)
      • Prêmio CAPES Talento Universitário - Documentos Relacionados
      • Concurso de Artigos Científicos sobre Fortalecimento de Vínculos Familiares em Tempos de Pandemia
      • Prêmio Tiradentes
      • Prêmio CAPES/Fundação Grupo Volkswagen de Excelência em Pesquisa em Mobilidade Urbana Sustentável
      • Prêmio CAPES/MINFRA
      • Prêmio CAPES - Natura Campus de Excelência em Pesquisa
      • Prêmio VALE-CAPES de Tecnologia e Inovação
      • Prêmio Top User Award/CAPES 2014
      • Prêmio Emerald/CAPES
      • Prêmio CAPES-Interfarma
      • Prêmio Anísio Teixeira
    • Campanhas
      • Campanha de Prevenção a Cursos Irregulares
    • Eventos
      • Eventos Avaliação
      • Eventos Pibid
      • Eventos Parfor
      • Eventos Observatório da Educação
      • I Encontro de Coordenadores do Programa Novos Talentos
      • I Seminário Nacional do Programa de Consolidação das Licenciaturas (Prodocência)
      • Seminário Residência Pedagógica
      • Seminário Lei do Bem
      • Seminário Internacional Repensando a universidade comparativamente entre pa´íses: Brasil. Rússia, Índia e China
      • Seminário Internacional Repensando a universidade comparativamente: perplexidades, políticas e paradoxos
      • I Encontro Nacional do Life
      • III Encontro Acadêmico Internacional: Interdisciplinaridade nas universidades brasileiras - Resultados e Desafios
      • Workshop Brazil/U.S. Women in Sciences and Engineering
      • Fórum Internacional CAPES/Brafagri
      • IX Fórum Brafitec
      • Educação Comparada - 2013
      • Encontro Acadêmico Internacional
      • III Colóquio Saint Hilaire
      • Seminário Estruturas em Aço, Ensino e Pesquisa Científica e Tecnológica.
    • Arquivo Central da CAPES
    • Aplicativos CAPES
    • Painel de Monitoramento e Indicadores
  • Acesso à Informação
    • Institucional
      • História e missão
      • Base jurídica da estrutura organizacional e das competências
      • Estrutura organizacional
      • Quem é quem
      • Orçamento - Evolução em reais
      • Dados Bancários
      • Competências
      • Horário de atendimento
      • Agenda de Autoridades
      • Corregedoria
      • Atos normativos
    • Ações e Programas
      • Avaliação
      • Apoio a Eventos
      • Bolsas e Estudantes
      • Articulação e Inovação em Educação Aberta
      • Formação de Professores da Educação Básica
      • Tecnologia da Informação
      • Plano Nacional de Pós-Graduação - PNPG
      • Carta de Serviços ao Usuário
      • Governança
      • Seleção Organismo Internacional
      • Outras Ações
    • Participação Social
      • Ouvidoria
      • Conselhos e órgãos colegiados
    • Auditorias
      • Prestação de Contas
      • Rol de Responsáveis
      • Relatórios da CGU
      • Plano Anual de Atividades de Auditoria Interna (PAINT)
      • Relatório Anual de Atividades de Auditoria Interna (RAINT)
      • Ações de supervisão, controle e correição
      • Normas e Manuais
    • Convênios e Transferências
    • Receitas e despesas
      • Diárias e Passagens
      • Execução Orçamentária e Financeira
      • Cartões de Pagamento
      • Empenho, liquidação e pagamento
      • Orçamento Unidade Orçamentária CAPES– Dotação Inicial e Dotação Atualizada
      • Relatório bimestral de pagamentos
      • Dados de Emenda de Relator-Geral na LOA
      • Receita Pública
      • Renuncia de Receitas
      • Notas Fiscais Eletrônicas
      • Dados para o Relatório de Gestão
    • Licitações e Contratos
      • Licitações
      • Contratos vigentes
      • Chamadas públicas
      • Plano de Contratações Anual
      • Termos de fomento
      • Dispensa de licitação
      • Inexigibilidade de licitação
      • Inexigibilidade de licitação - Portal de Periódicos
      • Concorrências
    • Termos de Execução Descentralizada
      • Termo de Descentralização de Demanda (TED) – CAPES
      • Termo de Descentralização de Demanda (TED) – Portal dos Periódicos
    • Acordos de Cooperação Técnica
    • Servidores
      • Concursos Públicos CAPES
      • Quantitativo de Estagiários
      • Edital seleção
      • Ingresso de novos servidores
    • Informações Classificadas
    • Serviço de Informação ao Cidadão - SIC
      • O Serviço de Informação ao Cidadão - SIC
      • Modelo de formulários
      • Plataforma Fala.BR
      • Relatórios Anuais da Autoridade de Monitoramento da LAI
      • A Lei de Acesso à Informação - LAI
      • Editais de chamamento público
      • Fluxos
      • Painel LAI
      • Plano de Integração dos Serviços à Plataforma de Cidadania Digital
      • Canais Específicos
    • Perguntas Frequentes
      • Sobre a CAPES
      • Avaliação da Pós-graduação
      • Bolsas e Auxílios Internacionais
      • Programas e Bolsas no País
      • Educação a Distância
      • Formação de Professores da Educação Básica
      • Tecnologia da Informação da CAPES
      • AUXPE, Prestação de Contas e Cobranças Administrativas
      • Outros assuntos da CAPES
    • Dados Abertos
    • Sanções Administrativas
    • Agenda de Autoridades
    • Sistema Eletrônico de Informações - SEI
      • Usuário Externo
      • Validação de documentos
      • Usuário Interno
      • Protocolo GOV.BR
      • Pesquisa Pública
      • Peticionamento Eletrônico
    • Transparência e Prestação de Contas
      • Relatórios de Gestão
      • Objetivo, Metas e Indicadores de Desempenho
      • Demonstrações contábeis
      • Valor público
      • Supervisão, Controle e Correição
      • Estrutura Organizacional, cargos e contatos institucionais
      • Programas, Projetos e Ações
      • Transferências de Recursos Financeiros
      • Execução Orçamentária e Financeira
      • Licitações e Contratos
      • Servidores
      • Serviço de Informação ao Cidadão (SIC)
      • Rol de Responsáveis
      • Dados Abertos
      • Transparência Pagamento a Bolsistas
      • GeoCAPES
      • Conferências
    • Prestação de Contas e Cobrança Administrativa
      • Regulamento da concessão, aplicação e prestação de contas do Auxílio Financeiro a Projeto Educacional ou de Pesquisa e Pós-Graduação - AUXPE
      • Regulamenta os procedimentos relacionados à cobrança administrativa na CAPES
    • Manual Cartão Pesquisador
    • Privacidade e Proteção de Dados Pessoais
      • Sobre a LGPD
      • Glossário
      • Direito dos Titulares
      • Encarregado pelo Tratamento de Dados Pessoais
      • Canais de Comunicação
      • Avisos de Privacidade e Termos de Uso
      • Política de Cookies
      • Termo de Uso de APP Bolsistas CAPES
      • Termo Uso e Politica Privacidade App EDUCAPES
      • Termo Uso e Politica de Privacidade App Pesquisador
      • Termo Uso e Politica Privacidade App SISUAB
      • Política de Privacidade e Proteção de Dados Pessoais
      • Compartilhamento de Dados Pessoais
    • Programas, Projetos, Ações, Obras e Atividades
    • Plano Diretor de Logística Sustentável - PLS
  • Composição
  • Centrais de Conteúdo
    • Identidade Visual
    • Redes Sociais da CAPES
    • Catálogo de Teses e Dissertações
    • EduCAPES
    • Publicações
      • InfoCAPES
      • Revista CAPES em Foco
      • Impacto da pós-graduação brasileira na Agenda 2030
      • Agenda Nacional para a Formação de Pessoal de Nível Superior
    • PodCAPES
    • CAPES 72 anos
    • CAPES 70 anos
    • Portal de Periódicos
      • 2026
      • 2025
      • 2024
    • Produtos digitais da CAPES
    • Memória da Avaliação
    • COP 30
  • Centrais de Atendimento
    • Comunicação
    • Ouvidoria
    • Fale Conosco
Redefinir Cookies
Redes sociais
  • Facebook
  • Twitter
  • YouTube
  • Flickr
  • Instagram
Acesso àInformação
Todo o conteúdo deste site está publicado sob a licença Creative Commons Atribuição-SemDerivações 3.0 Não Adaptada.
Voltar ao topo da página
Fale Agora Refazer a busca